Was Ist Eine Läsion Im Gehirn

Was Ist Eine Läsion Im Gehirn. Dr. Neckel Unternehmensberatung Neuroideenmanagement 3 das Gehirn als Lustsucher Es gibt verschiedene Arten von Hirnläsionen, die anhand ihrer Symptome, körperlichen Untersuchungsbefunde und diagnostischen Tests unterschieden werden können. Aber was sind Läsionen im Gehirn? Und was verursacht sie? Wie schwerwiegend sind Hirnläsionen und wie werden sie behandelt? Hier finden Sie Informationen zu diesem verwirrenden und beunruhigenden Gesundheitsproblem.

Die gespiegelte Sprache faktor14magazins Webseite!
Die gespiegelte Sprache faktor14magazins Webseite! from faktor14-magazin.jimdoweb.com

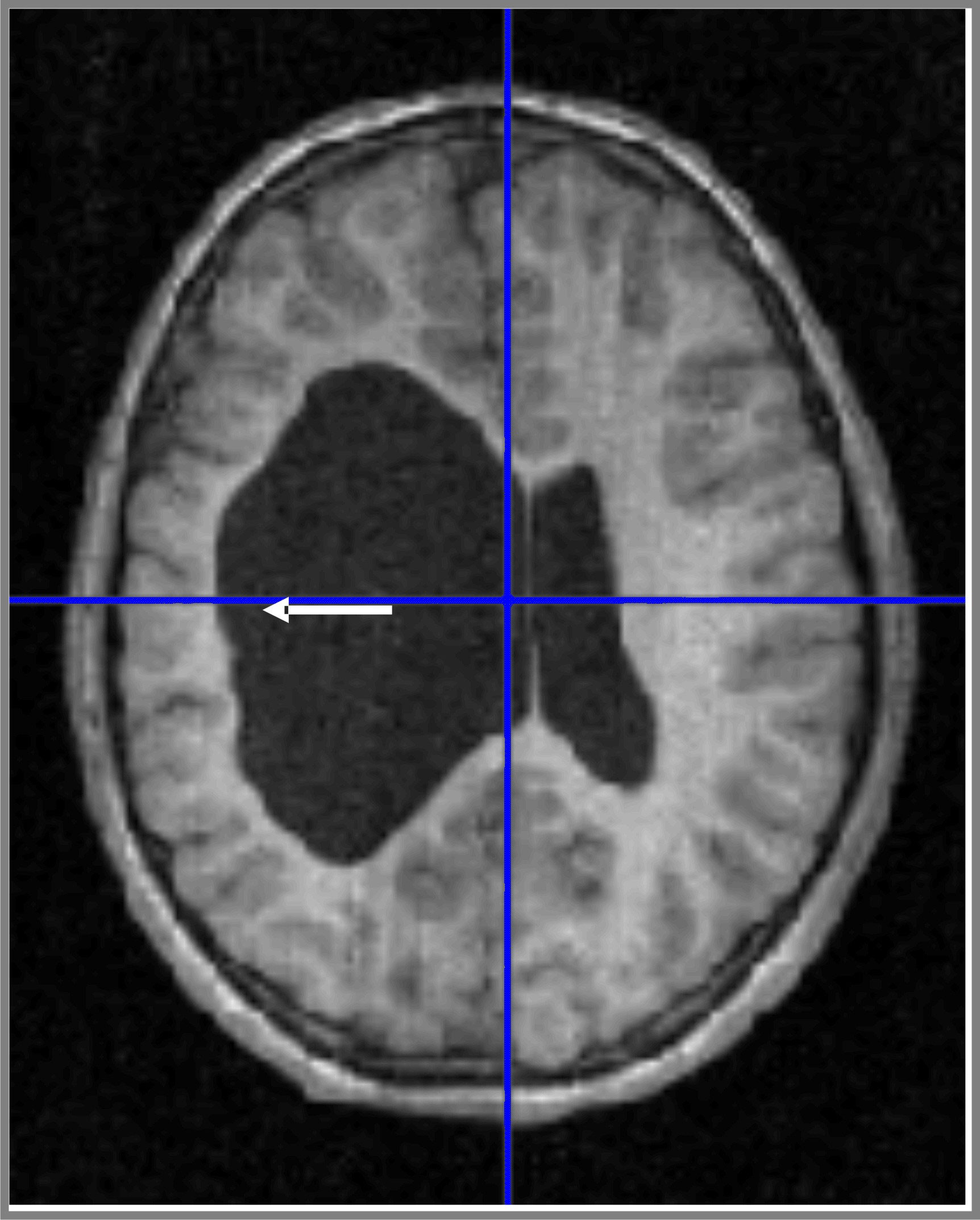
Wenn wir von einer Marklagerläsion sprechen bedeutet das, dass Ihr Hirn an genau dieser bestimmten Stelle stark, leicht oder mittelschwer beschädigt ist Wie ernst sind Hirnläsionen und wie werden sie behandelt? Hier finden Sie Informationen über diese verwirrend und beunruhigend Gesundheit

Die gespiegelte Sprache faktor14magazins Webseite!

Wenn wir von einer Marklagerläsion sprechen bedeutet das, dass Ihr Hirn an genau dieser bestimmten Stelle stark, leicht oder mittelschwer beschädigt ist Eine Hirnläsion ist eine Art Anomalie im Gehirn , die normalerweise durch eine Krankheit oder Verletzung verursacht wird 1 Was ist eine Läsion? 2 Ursachen 3 Wann zum Arzt? 4 Symptome und Verlauf 5 Diagnose 6 Komplikationen 7 Behandlung und Therapie 8 Aussicht und Prognose 9 Quellen

Präfrontaler Cortex Anatomie und Klinik MediKarriere. Eine Hirnläsion ist eine Art von Anomalie im Gehirn, die normalerweise durch eine Krankheit oder Verletzung verursacht wird 1 Was ist eine Läsion? 2 Ursachen 3 Wann zum Arzt? 4 Symptome und Verlauf 5 Diagnose 6 Komplikationen 7 Behandlung und Therapie 8 Aussicht und Prognose 9 Quellen

SLAP Läsion Was ist das? Was kann man dagegen machen? Operation und Physio. Wie ernst sind Hirnläsionen und wie werden sie behandelt? Hier finden Sie Informationen über diese verwirrend und beunruhigend Gesundheit Die Symptome einer Hirnläsion sind vielfältig und hängen stark von der Lage und Größe der Läsion ab.